ブログBlog

ブログ Blog
反対咬合 様子見でだいじょうぶ?
歯科治療について
2025/12/30
こんにちは。西宮市の中津浜デンタルクリニック・こども矯正歯科です。
当院には、日々可愛いお子様達がたくさん来院して下さり、その中で保護者の方から様々なお悩みをご相談頂く事があります。
虫歯や口臭や仕上げ磨きに加え、お子様の歯並びについて心配されている方がとても多く感じます。
今日は悪い歯並び(叢生、過蓋咬合、開口、反対咬合)の中でも、「反対咬合」についてお話ししたいと思います。
当院には、日々可愛いお子様達がたくさん来院して下さり、その中で保護者の方から様々なお悩みをご相談頂く事があります。
虫歯や口臭や仕上げ磨きに加え、お子様の歯並びについて心配されている方がとても多く感じます。
今日は悪い歯並び(叢生、過蓋咬合、開口、反対咬合)の中でも、「反対咬合」についてお話ししたいと思います。
反対咬合はその他の不正咬合に比べ遺伝的要素が大きいと言われていますが、歯並びや噛み合わせは遺伝的要素より圧倒的に後天的な要素が大きいという点です。ご相談頂く中で「私(家族)も歯並びが悪くて…」というお声をよく耳にします。
でもそんな時「実は遺伝的要素は2割程度なんです。」とお伝えするととても皆さん驚かれ、「それなら是非残りの可能性を最大限にいかしてあげたい。」とおっしゃる保護者の方も多く、私達はとても嬉しく思います。
こどもの反対咬合(受け口)は早めの気づきがポイント
乳歯の時期から見られることも多く、見た目の問題だけでなく、噛む力や言葉の発音、あごの成長バランスにも影響を与えることがあるため、適切なタイミングでのチェックがとても大切です。
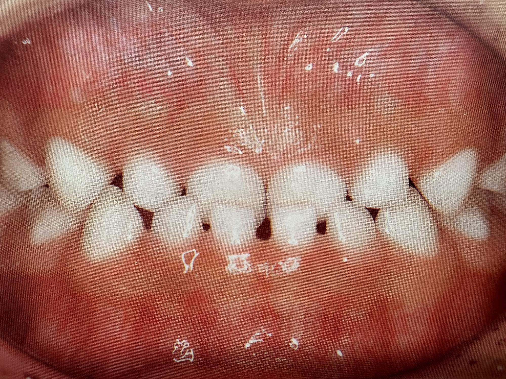
■ 反対咬合(受け口)とは

反対咬合とは、本来は上の前歯が前に出ているべきところ、逆に下の前歯が前に出てしまっている噛み合わせのことを指します。
人によっては顎全体が前に出ているように見えるため、横顔のシルエットにも特徴が出やすい噛み合わせです。乳歯の段階で軽い反対咬合に見える場合もありますが、成長とともに顎の骨のバランスが強く影響してくると、自然に治るケースは限られてきます。
■ なぜ反対咬合になるの?
反対咬合の要因はひとつではありません。遺伝的な要因として親御さんのどちらかが受け口傾向である場合、子どもにも似た骨格が現れることがあります。また、骨格だけでなく、舌の癖や口呼吸、指しゃぶりなどの生活習慣が関係していることもあります。
■ なぜ反対咬合になるの?
反対咬合の要因はひとつではありません。遺伝的な要因として親御さんのどちらかが受け口傾向である場合、子どもにも似た骨格が現れることがあります。また、骨格だけでなく、舌の癖や口呼吸、指しゃぶりなどの生活習慣が関係していることもあります。
・上顎の成長が弱い(劣成長)
・下顎が前に成長しすぎている(過成長)
・舌で下の歯を押す癖がある(舌突出癖)
・口が開きやすく(ポカン口)、正しい発音がしにくい(構音障害)
・下顎が前に成長しすぎている(過成長)
・舌で下の歯を押す癖がある(舌突出癖)
・口が開きやすく(ポカン口)、正しい発音がしにくい(構音障害)
こういった複数の要因が組み合わさることで、受け口として現れる場合が多いといわれています。
■ どんな問題が起きるの?
反対咬合は見た目の問題だけと思われがちですが、実は生活のさまざまな場面で影響が出ます。
■ どんな問題が起きるの?
反対咬合は見た目の問題だけと思われがちですが、実は生活のさまざまな場面で影響が出ます。
例えば、噛み合わせが悪いと食べ物が噛み切りにくくなったり、強く噛みしめるときに顎へ負担がかかったりします。
また、サ行やタ行などの発音に影響が出ることもあり、はっきりと話しにくいと感じるお子さまもいます。
さらに、上下の歯の噛み合わせがずれていることで、将来的に歯のすり減りや顎関節の不調につながることもあります。
■ 早期治療のメリット
こどもの反対咬合は、早く気づいて治療を始めることで改善しやすい という大きな利点があります。特に6歳前後は上顎が成長しやすい時期で、このタイミングで適切な装置を使うことで、上顎を広げたり前に導く治療が可能です。
■ 早期治療のメリット
こどもの反対咬合は、早く気づいて治療を始めることで改善しやすい という大きな利点があります。特に6歳前後は上顎が成長しやすい時期で、このタイミングで適切な装置を使うことで、上顎を広げたり前に導く治療が可能です。
また、早い段階で噛み合わせのバランスを整えると、将来の矯正治療が軽く済む可能性が高まります。成長途中の子どもは骨が柔らかく、歯の移動もしやすいため、成人になってからの治療より負担が少ないのも大きなメリットです。
■ 治療方法にはどんなものがある?
反対咬合の治療方法は、症状の程度や年齢によって異なります。
当院では、小児矯正としてマイオブレースという装置を用いて、お口の悪習癖を取り除き顎の成長を促すという治療を行っております。また、顎の成長をサポートする補助装置を併用することもあります。成長が進んだ中学生以降の場合には、ワイヤー矯正やマウスピース矯正(インビザラインなど)が適用されるケースもあります。
いずれの場合も、お子さまの性格や生活スタイルに合わせた治療計画が重要で、歯科医院とのコミュニケーションがとても大切になります。
■ 自宅で気をつけたいこと
治療中はもちろん、経過観察中にも家庭で心がけたいポイントがあります。
■ 自宅で気をつけたいこと
治療中はもちろん、経過観察中にも家庭で心がけたいポイントがあります。
まず、舌を正しい位置(上あごの裏側のスポット)に置く練習をすること。さらに、口呼吸が習慣になっている場合は、意識して鼻呼吸に切り替える練習も効果的です。
姿勢が悪いと顎のバランスにも影響するため、食事中やゲーム中の姿勢を正すことも意外と重要です。
■ まとめ
こどもの反対咬合は、見た目だけでなくお口の機能、体の成長や発音にも大きく関わるテーマです。
■ まとめ
こどもの反対咬合は、見た目だけでなくお口の機能、体の成長や発音にも大きく関わるテーマです。
しかし、早期発見と適切な治療によって、改善のチャンスが大きく広がります。「そのうち治るかもしれない」と様子を見るよりも、まずは専門の歯科医院でチェックしてもらうことをおすすめします。お子さまが自信を持って笑えるように、できるだけ早い段階でサポートしてあげることが大切です。
西宮市の中津浜デンタルクリニック・こども矯正歯科では、お子様のお口に関する相談や小児矯正の無料相談も行っております。
西宮市の中津浜デンタルクリニック・こども矯正歯科では、お子様のお口に関する相談や小児矯正の無料相談も行っております。
院内はバリアフリーなので小さなお子様をお連れの方も通院して頂き易く、また女性歯科医師なので歯医者デビューや歯医者が苦手という方も安心してお越しください。
■ 最後に
本年も当院のブログをご覧いただき、誠にありがとうございました。
お子さまのお口の成長から大人の方のお口の健康まで、少しでも皆様のお役に立てていれば幸いです。
来年も小児歯科に関する内容を中心に、皆様にとって分かりやすく、役立つ情報をお届けしてまいります。
どうぞ良いお年をお迎えください。
お子さまのお口の成長から大人の方のお口の健康まで、少しでも皆様のお役に立てていれば幸いです。
来年も小児歯科に関する内容を中心に、皆様にとって分かりやすく、役立つ情報をお届けしてまいります。
どうぞ良いお年をお迎えください。
あなたへのおすすめ記事
-
-
- 歯科治療について
- 反対咬合 様子見でだいじょうぶ?
-
-
-

- 症例紹介
- 9歳の男の子「前歯の出具合が気になる…」
-
-
-

- 歯科治療について
- あれ?歯に白い点がある! 子どもの「ホワイトスポット」とは?
-
-
-

- 歯科治療について
- 大人の歯が生えてこない…これって大丈夫?
-
0798-65-5611
電話する
WEB予約



